Case 05 - TFCC Injury 30 yr, male, quality control specialist, right hand dominancyFell on his right hand 2 months agoPain at dorsoulnar sideFovea sign +Pain on ECU tendon
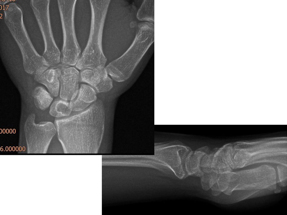
Case 04 - Intraosseous Ganglion Cyst of The Lunate 33 yr, male, warehouse worker, right hand dominancyPain at scapholunate jointRight wrist extension 50°, flexion 60°Watson shift test -
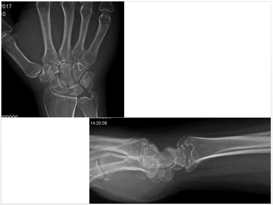
Case 03 - Intraosseous Ganglion Cyst of The Lunate 37 yr, male, furnisher, right hand dominancyLeft wrist pain for 3 yearsTenderness with palpation over lunateLeft wrist flexion 50°, extension 50°