Case 14 - Sol Lunat Cyst

47 yr, male, laborer, right hand dominant
Left wrist pain for 4 years
Pain aggraveted in last 2 months
Pain radiates to arm and has muscle cramp

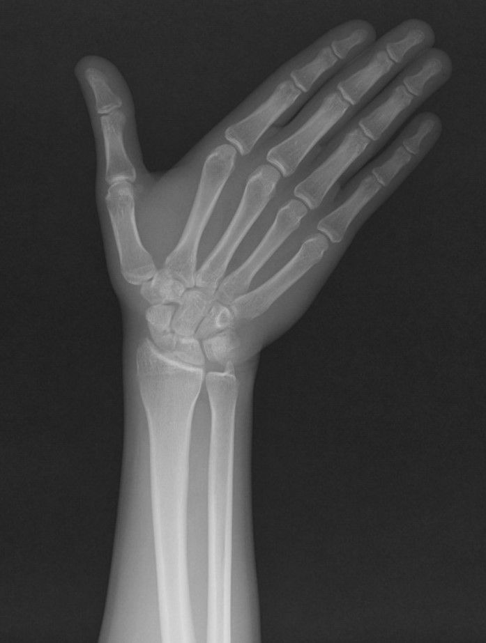
Case 13 - Scaphoid Fracture

17 yr, male, student, non smoker, right hand dominant

History of sports injury four months ago, he fell on his right hand, no hospital admision in the first place

First admitted another hospital 3 months ago, thumb spica splint applied

When he admitted to our clinic cast is removed

Case 12 - Ulnar İmpaction

54 years old, female, housewife
Left ulnar wrist pain without a trauma history for ten years, increased in last year
No improvement with splint and medical treatment